6 Dangerous Diseases You Think Have Been Eradicated—But Haven’t

Monkeypox, now making headlines because of a rapidly-spreading outbreak, was a disease many people had never heard of until recently—let alone been afraid of getting. The name brings to mind smallpox—a disease that was globally eradicated in 1980—but monkeypox is a different illness. “Smallpox was very contagious and spread more easily than monkeypox,” the Cleveland Clinic explains. “Monkeypox symptoms are similar to, but milder than, smallpox symptoms.”
In fact, smallpox is actually the only human infectious disease to be declared eradicated by the World Health Organization (WHO). That’s right—some of the diseases you thought had been “eradicated” aren’t actually 100 percent gone. When they no longer occur in a specific geographic region, these diseases are known as “eliminated”—but there’s always a chance they could come back. Read on to find out about six scary diseases that are still lurking out there, somewhere…
READ THIS NEXT: The Worst Thing You’re Doing in Public Bathrooms, Infectious Disease Doc Warns.
1
Polio

Polio is a crippling, incurable, and sometimes fatal disease that can leave patients with permanent disabilities, WeForum reports. “The virus spreads along the nerve fibers in the spinal cord and eats away at the nerves inside the parts of the body that allow us to move,” their experts explain. Polio has been nearly completely eradicated—but not quite. According to WeForum, global cases of polio have dropped by almost 99 percent since 1998, with only three countries still seeing regular cases: Nigeria, Pakistan, and Afghanistan.
2
Measles

Between 1953 and 1963, almost all children developed measles by the age of 15, the Centers for Disease Control and Prevention (CDC) explains, with approximately three to four million people infected every year in the U.S. “Also each year, among reported cases, an estimated 400 to 500 people died, 48,000 were hospitalized, and 1,000 suffered encephalitis (swelling of the brain) from measles,” says the CDC. In 1963 a vaccine was made available, and it was pronounced that measles had been eliminated from the U.S. in 2000. Still, the disease affects an estimated 20 million people a year, mostly in developing areas of Asia and Africa.
3
Mumps

Like measles, mumps were prevalent before a vaccine was made available. Mumps causes puffy, swollen cheeks and jaw, as well as symptoms such as fever, headache, and muscle aches.
“Reported cases decreased by more than 99 percent after both the mumps vaccination program started in the U.S. in 1967 and children regularly received two doses of MMR [measles, mumps, and rubella] vaccine,” the CDC reports. “However, mumps cases and outbreaks reported in the United States have increased since 2006. Most of these cases were in young adults and people who were vaccinated.” U.S. Pharmacist notes that this resurgence is “thought to have occurred for multiple reasons, including declining levels of vaccine-derived immunity and the lack of recommended boosters for the MMR vaccine.”
For more health news sent directly to your inbox, sign up for our daily newsletter.
4
Rubella

Another contagious disease caused by a virus, rubella has been called the “German measles,” but it’s not the same illness. However, “health problems caused by these diseases overlap,” the CDC explains. “Each of them can cause brain damage, deafness, and blindness [and] measles can cause pneumonia and diarrhea, while rubella and congenital rubella syndrome can lead to heart disorders.”
A vaccine was licensed for rubella in 1969, and in 2004 it was eliminated from the U.S. But the CDC notes that rubella is still a problem for other countries, and can be brought into the U.S. when someone is infected in another location.
5
Guinea worm disease

There is no known cure or vaccine for Guinea worm disease (GWD), a parasitic illness in which people are infected with Guinea worms by inadvertently consuming their larvae. GWD causes extreme pain, incapacitation, and possible secondary infections when the fully grown worm is released through the human body by a painful, burning blister.
GWD may become the second human infectious disease to be eradicated, but not with a vaccine; it is addressed with hygiene, water decontamination, and health education. The Carter Center reports that incidences of the disease have dropped from about 3.5 million cases a year to just 15 cases in 2021.
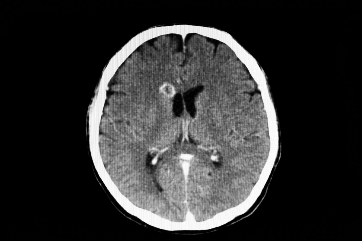
6
Cysticercosis

Another parasitic infection, cysticercosis is “caused by larval cysts of the tapeworm Taenia solium,” says the CDC. “These larval cysts infect brain, muscle, or other tissue, and are a major cause of adult onset seizures in most low-income countries.”
The infection can lead to cysts that occur in various areas of the body, including muscles, the eyes, and the brain. “Symptoms caused by the cysts depend on the location, size, number, and stage of the cysts,” says the CDC, with the results ranging from tender lumps beneath the skin to more serious conditions such as brain swelling, stroke, or death.
According to Science Direct, cysticercosis has been eliminated in Europe using “improved sanitation, better animal husbandry, and meat inspection.” Cysticercosis is most prevalent in “areas of Latin America, Asia, and Africa that have poor sanitation and free-ranging pigs that have access to human feces,” the CDC reports.